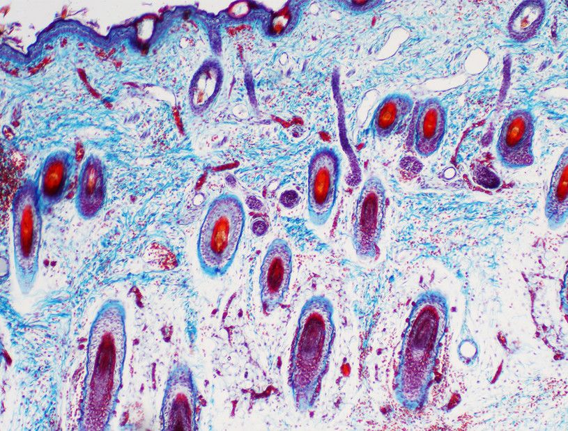
Структура кожи и перманентный макияж
На заметку мастерам перманентного макияжа
Медицинский аспект2019-07-26

Чтобы качественно выполнять свою работу, мастер ПМ должен знать структуру кожи, ведь каждый из ее слоев по-разному воспринимает и удерживает пигмент. Предлагаем рассмотреть основы этой темы.

